
Детская
стоматология
- Лечение без страха и слез
- Дружелюбные врачи и уютная атмосфера
- Индивидуальный подход к каждому ребенку
- Здоровые зубки на долгие годы

Какие проблемы с зубами у детей мы решаем?
Кариес и пульпит.
Лечим как молочные так и постоянные зубки
Удаление зубов.
Как молочных, так и постоянных зубов
Проблемы с прикусом.
Исправляем отклонения в положении зубов любой сложности
Реставрация зубов.
Хирургическая пластика. И многое другое...
Почему важно уделять внимание уходу
за молочными зубами?
Мы поддерживаем родителей в сохранении здоровья детских зубов до естественной смены без негативного воздействия на самого ребенка.
Дефект развития челюстей
Потеря всего одного зуба может вызвать дисбаланс в развитии челюсти.
Повреждение постоянного зуба
Если не вылечить молочный зуб, это может привести к инфекции и потере постоянного зуба.
Неправильный прикус
Отсутствие нескольких зубов может привести к деформации прикуса, что способствует возникновению зубных заболеваний и проблем с произношением.
Заболевания ЖКТ
Проблемы с пережевыванием у детей могут привести к заболеваниям желудочно-кишечного тракта.
3 главных правила нашей клиники


Адаптация детей перед лечением

Комфортное самочувствие детей во время стоматологического лечения включает в себя несколько важных аспектов.
- Подготовка и информирование родителей:
Мы подготавливаем и информируем родителей о предстоящем лечении, обсуждаем его цели и возможные результаты. Они должны быть готовы ответить на вопросы ребенка и помочь ему справиться с тревогой и страхом.
- Создание комфортной и дружелюбной атмосферы:
Для создания комфортной и дружелюбной обстановки в стоматологическом кабинете, мы стремимся обеспечить яркий и уютный интерьер, где есть достаточно света. Мы также регулярно играем приятную музыку или мультики на экране, чтобы снять напряжение у детей. Важно создать приятные впечатления от окружающей атмосферы, чтобы дети чувствовали себя более комфортно.
- Использование игровых методов и поощрения:
Мы используем игровые методы и поощрения, чтобы помочь ребенку справиться с процессом лечения. Маленьким детям нравится играть в стоматолога, а специальные игрушки помогают им освоить правила гигиены полости рта.
- Анестезия:
Прежде чем делать укол, мы применяем аппликационную анестезию, что позволяет обезболить область, где будет проводиться процедура. Мы используем безопасные и эффективные препараты для местного обезболивания, чтобы минимизировать дискомфорт и болезненные ощущения у детей.
- Работа с родителями после лечения:
Завершая лечение, мы даем родителям рекомендации по уходу за полостью рта ребенка после процедуры и советы по профилактике и предупреждению кариеса и других болезней.
Все эти меры помогают нам создать комфортную и безопасную среду для детей во время стоматологического лечения. Мы стремимся сделать процесс максимально приятным и минимизировать тревогу и стресс, связанные с походом к стоматологу.
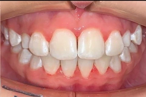
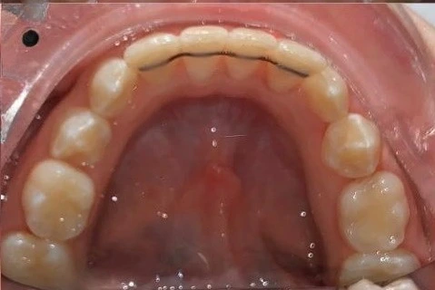
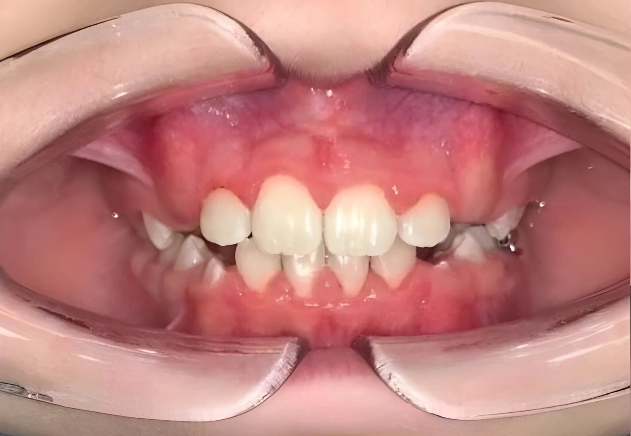
Посмотрите, как меняются улыбки
765успешных процедур по профессиональной гигиене полости рта за 2 года22лет опыта работы
430пациентов прошедших лечение брекетами за последние 3 года6лет опыта работы
475спасённых детских улыбок в 2024 году6лет опыта работы
- 0%первоначальный взнос
- 0%переплата
- Понадобиться
только паспорт
Обретите уверенную здоровую красивую улыбку - улыбку мечты!
- высокоэстетичное протезирование
- виниры
- имплантация
- ортодонтическое лечение
Решайте проблему сейчас - оплачивайте в комфортном режиме
Стоматологическая помощь стала еще более доступной!


Больно не будет
- Современная анестезия
Импортная местная анестезия гарантирует комфорт и безопасность пациенту во время процедуры. Длительность эффекта составляет 2-3 часа, что обеспечивает возможность проведения лечения даже в самых сложных случаях.
- Комфортное лечение
Благодаря индивидуальному подходу и созданию комфортных условий, пациенты, во время процедуры лечения, ощущают себя спокойно и расслабленно.
- Быстрое восстановление
По завершении процедуры, пациенту назначаются щадящие обезболивающие средства, но есть и такие пациенты, которые обходятся без них. Обычно процесс реабилитации занимает от 3 до 5 дней.
О клинике
Современные технологии, квалификация медицинских специалистов, накопленный опыт и, что наиболее важно, заботливое отношение к пациентам.
Основное направление деятельности заключается в предоставлении высококачественной стоматологической помощи, включая детскую стоматологию, терапевтическое и хирургическое лечение, имплантацию, ортодонтию и ортопедию.
Каждый месяц у нас проходят акции и специальные предложения



Мы ответим!
- Используем только современные технологии и материалы для обеспечения высокого качества услуг.
- Мы гарантируем полную безопасность всех процедур.
Специальные предложения
- Все услуги
- Постоянная

В случае, когда трое, мы готовы предоставить вам скидку в размере 7%.
И если четверо и больше членов вашей семьи посещают нашу клинику, вы имеете право на скидку в размере 10%.
- Гигиена
- Постоянная

При прохождении профессиональной гигиены полости рта на первом приёме консультация бесплатно
- Ортодонтия
- Постоянная

- ● Детская: 3500р.
- ● Взрослая: 4900р.
- Все услуги
- Постоянная

Скидка 7% на все услуги нашей клиники для пенсионеров и ветеранам боевых действий.


Как записаться к детскому стоматологу
позвонить администратору по телефону +7 (986) 000-09-03
приехать к нам по адресу г.Люберцы, ул.8 Марта, д.20, к.2
заполнить
Вас примет врач с многолетним стажем, который проведет тщательную диагностику и назначит подходящее лечение.
Желаем здоровья!



































