

Жарких Алена Сергеевна
Образование
В 2019г. окончила Медицинский университет "Реавиз" (г.Самара) по специальности "Стоматология общей практики"
В 2021г. завершила обучение в ординатуре по специальности Ортодонтия в ГБУЗ МО МОНИКИ им. Владимирского.
Повышение квалификации
2025
✓приняла участие в мероприятии клуб ТОП-22 «Цифровые технологии в практике ортодонта» (Академия Ортодонтии "Ortholight")
2024
✓приняла участие в семинаре Окуневой Татьяны Юрьевны для врачей-ортодонтов и клинических ортодонтов «Логичная ортодонтия» (Академия Ортодонтии "Ortholight")
✓пройден курс «Отодонтическая хирургия для ортодонтов» (школа Константина Куракина)
✓приняла участие в 20-ом юбилейном клубе практикующих ортодонтов «BIG STAR TOP» (Академия Ортодонтии "Ortholight")
✓приняла участие в образовательном Мероприятии: «Детская ортодонтия от А до Я. От Аппаратов до Языка» ("ТЕХНОДЕНТ")
2022
✓приняла участие в вебинаре «Диагностика и цел лечения в детской ортодонтии: как помочь растущему пациенту» (академия "EUROCAPPA")
✓приняла участие в вебинаре «Миорелаксирующий сплинт: Основной инструмент функциональной реабилитации» (академия "EUROCAPPA")
2021
✓приняла участие в вебинаре «Ошибки при работе со слепками» (академия "EUROCAPPA")
✓приняла участие в вебинаре «PERIOSTORY: Пародонтологические истории для ортодонтов» (академия "EUROCAPPA")
✓приняла участие в вебинаре «Секреты успеха при работе на элайнерах» (академия "EUROCAPPA")
✓приняла участие в вебинаре «Быстрый старт: как внедрить элайнеры в клиническую практику» (академия "EUROCAPPA")
✓приняла участие в вебинаре «Лечение открытого прикуса интрузия моляров и использование небной опоры» (академия "EUROCAPPA")
✓приняла участие в вебинаре «Детская ортодонтия: начинать нельзя ждать. Где поставить запятую?» (академия "EUROCAPPA")
✓приняла участие в вебинаре «Лечение проблем ВНЧС с помощью остеопатии: за и против» (академия "EUROCAPPA")
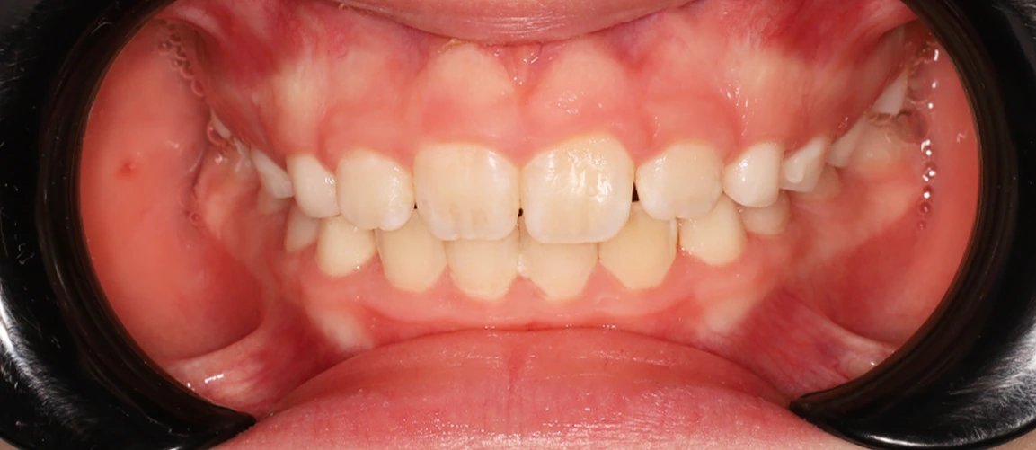
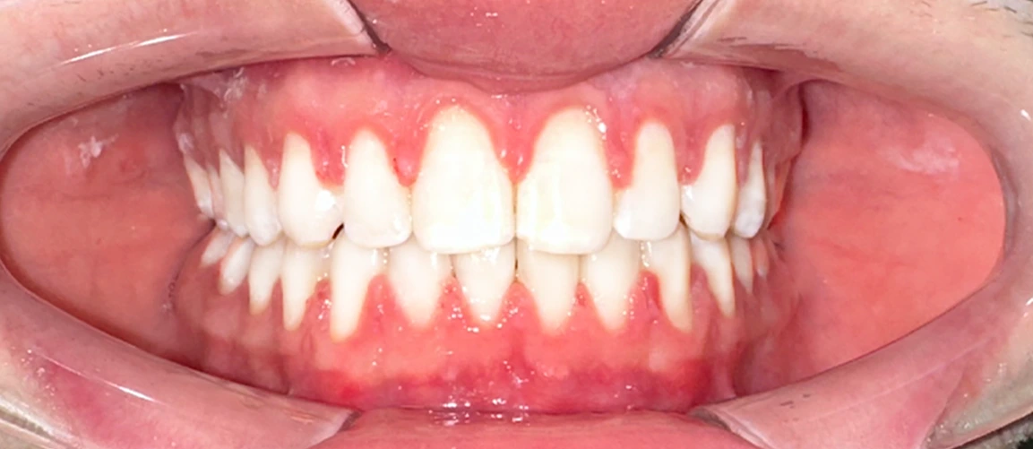
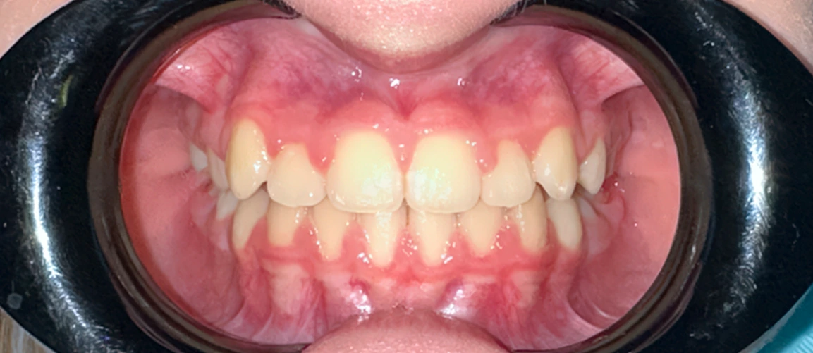
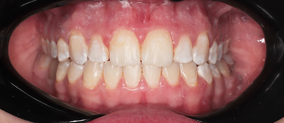
Примеры работ
Отзывы
- Используем только современные технологии и материалы для обеспечения высокого качества услуг.
- Мы гарантируем полную безопасность всех процедур.
Специальные предложения
- Все услуги
- Постоянная

В случае, когда трое, мы готовы предоставить вам скидку в размере 7%.
И если четверо и больше членов вашей семьи посещают нашу клинику, вы имеете право на скидку в размере 10%.
- Гигиена
- Постоянная

При прохождении профессиональной гигиены полости рта на первом приёме консультация бесплатно
- Ортодонтия
- Постоянная

- ● Детская: 3500р.
- ● Взрослая: 4900р.
- Все услуги
- Постоянная

Скидка 7% на все услуги нашей клиники для пенсионеров и ветеранам боевых действий.

























