

Шеянов Виктор Алексеевич
Специализация
Установка дентальных имплантатов
Удаления зубов любой степени сложности, в том числе зубы «мудрости»
Зубосохраняющие операции
Проведение экстренных хирургических манипуляций (вскрытие и дренирование одонтогенных абсцессов)
Десневая пластика рецессий и вестибулопластика
Образование и опыт
Саратовский государственный медицинский университет имени В. И. Разумовского, стоматологический факультет
Медико-биологический университет инноваций и непрерывного образования ФМБЦ им. А.И.Бурназяна ФМБА России, ординатура «стоматология хирургическая»
Повышение квалификации
2025
✓Современные аспекты дентальной имплантации - одномоментная имплантация, пластика мягких тканей, синуслифтинг - Имплантация PRO Баграта Смбатяна.
✓«Увеличение объема тканей при дентальной имплантации: коррекция вестибулярного контура кости и объема мягких тканей». - Учебный центр DENTIUM Russia.
2024
✓«Горизонтальная НКР с применением коллагеновых мембран». - Учебный центр SIMKO Academy.
✓«Пластика мягких тканей в области имплантатов» Практический курс. - Ашурко И. П.
2023
✓«Astra Tech Implant System EV». - Аюбов Р. А.
✓Практический курс «Хирургия в дентальной имплантации» Osstem Russia
✓«Практический курс по дентальной имплантологии. Хирургия. Ортопедия.». - Коробков И. В.
✓“Фундаментальные принципы выполнения тотальных работ на имплантах». - Данилов А. А.
2022
✓«Неотложные состояния в стоматологии».- к.м.н. Зарипова З.А.
✓«XIII национальный фестиваль имплантологии» Стоматологическая ассоциация России
2021
✓«XII национальный фестиваль имплантологии» Стоматологическая ассоциация России
2019
✓«Экспертный курс по имплантации. Одномоментная имплантация. Синус-лифтинг. НКР». - к.м.н. Хабиев К.Н.
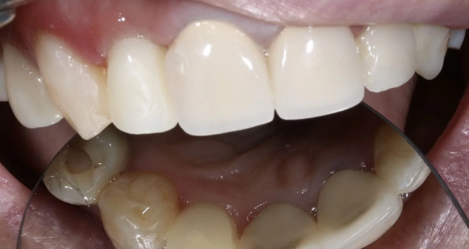
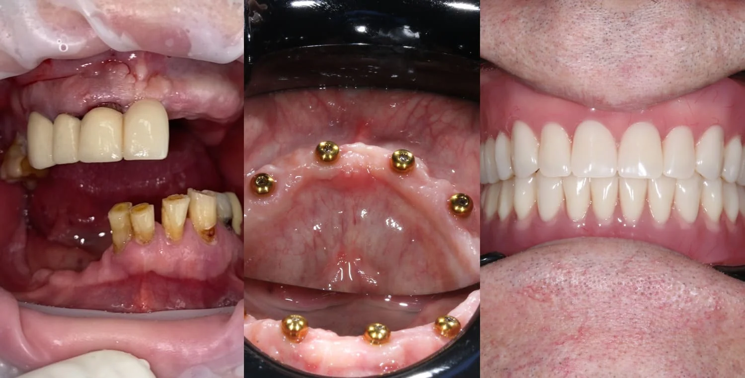
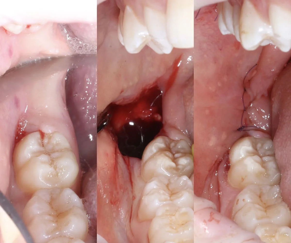
Примеры работ
Отзывы
Одно посещение поможет вам решить проблему.
- Используем только современные технологии и материалы для обеспечения высокого качества услуг.
- Мы гарантируем полную безопасность всех процедур.
Специальные предложения
- Все услуги
- Постоянная

В случае, когда трое, мы готовы предоставить вам скидку в размере 7%.
И если четверо и больше членов вашей семьи посещают нашу клинику, вы имеете право на скидку в размере 10%.
- Гигиена
- Постоянная

При прохождении профессиональной гигиены полости рта на первом приёме консультация бесплатно
- Ортодонтия
- Постоянная

- ● Детская: 3500р.
- ● Взрослая: 4900р.
- Все услуги
- Постоянная

Скидка 7% на все услуги нашей клиники для пенсионеров и ветеранам боевых действий.

































