

Коронки на зуб
в Люберцах
- Долговечное и эстетичное решение
- Прочность и уверенность в каждом укусе
- Надежная защита поврежденного зуба
- Здоровье десен и зубов
Металлокерамика24 200 ₽18 700 ₽
Цирконий38 500 ₽33 000 ₽
Что из себя представляют зубные коронки
Коронка на зуб - это индивидуально изготовленный несъемный протез, который надевается на ослабленный или поврежденный зуб для его восстановления. Изделие изготавливается индивидуально под каждого пациента. Позволяет восстановить зуб даже при его значительном разрушении. Этот тип лечения позволяет решить несколько важных задач:
- Восстановить жевательные и речевые функции
- Правильно распределить нагрузку на челюсть
- Вернуть привлекательный внешний вид улыбки
- Предотвратить развитие сопутствующих патологий

Показания к установке коронок

Значительное разрушение зуба (более 50%), когда пломба не обеспечивает надежное восстановление. Часто вызвано запущенным кариесом.

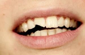
Большой скол или трещина зуба в результате травмы, при условии сохранения корня. Коронка обеспечивает прочность и эстетику.

Флюороз: появление стойких пятен на эмали из-за избытка фтора, которые не поддаются традиционному отбеливанию.

Необходимость эстетической реставрации при дефектах: выраженная кривизна, изменение формы, неудовлетворительный цвет эмали.
Коронка из металлокерамикиНадежное восстановление разрушенного зубаМатериал: Металлокерамика18 700 ₽ за коронкуСрок службы: 10-15 летСрок изготовления: от 3 днейДоступная стоимость
Прочность и долговечность
Восстановление формы и функции зуба
Хорошая эстетика по сравнению с полностью металлическими коронками
Коронка из диоксида цирконияВысокопрочное и эстетичное решение без металлаМатериал: Диоксид циркония33 000 ₽ за коронкуСрок службы: 15-20 летСрок изготовления: от 5 днейВысочайшая прочность и долговечность
Отличная эстетика, идентичная натуральному зубу
Полная биосовместимость, гипоаллергенность
Не вызывает потемнения десны
Коронка E-max (керамическая)Максимальная эстетика и естественностьМатериал: Керамика E-maxот 39 600 ₽ за коронкуСрок службы: 10-15 летСрок изготовления: от 5 днейНепревзойденная эстетика и естественная прозрачность
Идеально подходит для передних зубов
Полностью имитирует натуральный зуб
Отсутствие металлического каркаса, не вызывает аллергии
Как правильно выбрать коронку?
Оптимальный выбор коронки зависит от множества факторов: от места зуба в челюсти, до его роли в процессе жевания и общего состояния полости рта. При этом важно сбалансировать эстетику, прочность, функциональность, долговечность и совместимость материала с организмом.
Коронки для передних зубов: акцент на красоту
Когда речь идет о передних зубах, эстетика выходит на первый план. Здесь наилучшим решением станут цельнокерамические коронки. Они обладают высокой светопроницаемостью и позволяют добиться идеального совпадения с оттенком и формой соседних зубов, делая улыбку максимально натуральной.
Керамика гипоаллергенна, что минимизирует риск отторжения. Однако, стоит помнить, что она менее прочна, чем коронки с металлическим каркасом, и может быть подвержена сколам при значительных нагрузках, поэтому лучше подходят для зубов с небольшой нагрузкой.Коронки для жевательных зубов: надежность и долговечность
Жевательные зубы принимают на себя основную нагрузку при пережевывании пищи. Поэтому коронки для них должны быть максимально прочными. Металлокерамические или циркониевые конструкции – идеальный выбор для этих зон. Металлический каркас обеспечивает им устойчивость к износу и высоким нагрузкам, а керамическое покрытие придает зубам эстетический вид, хоть и не такой как цельная керамика.
Циркониевые коронки, в свою очередь, сочетают в себе высокую прочность и хорошую эстетику, являясь отличным компромиссом между двумя вариантами. Они также гипоаллергенны и долговечны.

Этапы установки коронок
- 1

Первичный осмотр и диагностика
Стоматолог осматривает полость рта, назначает рентгеновские снимки. С учетом полученных данных разрабатывается тактика дальнейших действий и совместно с пациентом производится выбор вида и материала коронок. - 2

Подготовка
До начала этапа протезирования в полости рта должны быть полностью устранены все источники инфекции. При необходимости врач снимает налет и камень, у сильно разрушенных зубов удалит пульпу. - 3

Изготовление
После сканирования полости рта, результаты отправляются зубному технику для изготовления анатомически точной коронки вашего зуба. - 4

Установка конструкции
Перед установкой производится финальная примерка изделия и если оно отвечает всем требованиям, врач снимет временный протез и фиксирует постоянный на специальный состав.
1320счастливых пациентов прошедших протезирование за последние 3 года27лет опыта работы
500операций в 2023 году7лет опыта работы
75завершенных протезирований зубов
за 2024 год4года опыта работы
О клинике
Современные технологии, квалификация медицинских специалистов, накопленный опыт и, что наиболее важно, заботливое отношение к пациентам.
Основное направление деятельности заключается в предоставлении высококачественной стоматологической помощи, включая детскую стоматологию, терапевтическое и хирургическое лечение, имплантацию, ортодонтию и ортопедию.
Каждый месяц у нас проходят акции и специальные предложения



- 0%первоначальный взнос
- 0%переплата
- Понадобиться
только паспорт
Обретите уверенную здоровую красивую улыбку - улыбку мечты!
- высокоэстетичное протезирование
- виниры
- имплантация
- ортодонтическое лечение
Решайте проблему сейчас - оплачивайте в комфортном режиме
Стоматологическая помощь стала еще более доступной!


Больно не будет
- Современная анестезия
Импортная местная анестезия гарантирует комфорт и безопасность пациенту во время процедуры. Длительность эффекта составляет 2-3 часа, что обеспечивает возможность проведения имплантации даже в самых сложных случаях.
- Комфортное лечение
Благодаря индивидуальному подходу и созданию комфортных условий, пациенты, во время процедуры имплантации, ощущают себя спокойно и расслабленно.
- Быстрое восстановление
По завершении процедуры имплантации, пациенту назначаются щадящие обезболивающие средства, но есть и такие пациенты, которые обходятся без них. Обычно процесс реабилитации занимает от 3 до 5 дней.
Мы ответим!
- Используем только современные технологии и материалы для обеспечения высокого качества услуг.
- Мы гарантируем полную безопасность всех процедур.
Специальные предложения
- Все услуги
- Постоянная

В случае, когда трое, мы готовы предоставить вам скидку в размере 7%.
И если четверо и больше членов вашей семьи посещают нашу клинику, вы имеете право на скидку в размере 10%.
- Гигиена
- Постоянная

При прохождении профессиональной гигиены полости рта на первом приёме консультация бесплатно
- Ортодонтия
- Постоянная

- ● Детская: 3500р.
- ● Взрослая: 4900р.
- Все услуги
- Постоянная

Скидка 7% на все услуги нашей клиники для пенсионеров и ветеранам боевых действий.



























