

Мехтиева Айтан Мазахировна
О специалисте
Стоматология для меня — призвание: я получаю удовольствие от творческой стороны профессии, тщательно подбираю материалы и технику для достижения высокого качества и долговечного результата, а индивидуальный подход к пациенту и внимательное обсуждение плана лечения помогают достигать эстетической и функциональной гармонии. Постоянно повышаю квалификацию на профильных курсах и мастер‑классах, стремлюсь к совершенствованию навыков и соблюдаю строгие стандарты стерильности и безопасности
- ✓Комбинация медицинской точности и творческого подхода.
- ✓Постоянное обучение и использование современных методик.
- ✓Индивидуальный подход, стремление к долгосрочному результату и эстетической гармонии.
- ✓Работаю с проверенными материалами, придерживаюсь современных клинических протоколов и стандартов стерильности. Для меня важно, чтобы реставрации были не только красивыми, но и долговечными.
Специализация
Терапевтическое лечение зубов — комплексная диагностика, эндодонтия , профилактика.
Художественные реставрации — реставрации фронтальной и боковой группы зубов.
Высокое внимание к качеству материалов и техники, аккуратность и тщательность в работе.
Доброжелательный, внимательный подход к пациенту, объяснение плана лечения и этапов работы.
Образование и опыт
Окончила Первый Московский государственный медицинский университет им. И. М. Сеченова. Сеченова
Постоянно прохожу курсы и мастер-классы, совершенствую профессиональные навыки в области терапевтической стоматологии и эстетических реставраций. Сеченова
4 года проработала ассистентом у ведущих врачей — это позволило глубоко изучить практические приёмы и современные протоколы лечения.
Повышение квалификации
2025
✓прошла обучение по программе «Постэндодонтическая реабилитация зубов - академия ПРОТЕКО
✓прошла обучение по программе «Особенности эстетической реставрации во фронтальном отделе» - учебный центр S.T.I.dent
✓прошла обучение по программе «Теория и практика эстетической реставрации передних зубов - академия ПРОТЕКО
2024
✓мастер-класс «Сиалолитаз. Современные представления, диагностика, лечение.» - ENDO TRAIDING
✓Приняла участие в конференции «Современная имплантация: синергия хирургии и ортопедии» - Пикассо
✓«Пластика мягких тканей в области имплантатов» Практический курс. - Ашурко И. П.
2023
✓Прошла повышение квалификации по направлению «Онкологическая настороженность в практике врача-стоматолога. Основные принципы» - Первый Московский государственный медицинский университет имени И.М. Сеченова
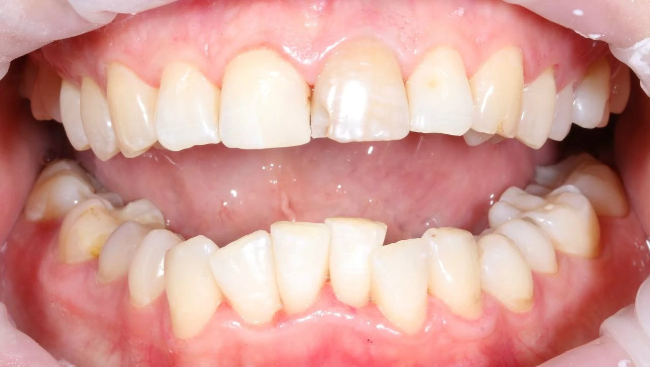
Примеры работ
Отзывы
Одно посещение поможет вам решить проблему.
- Используем только современные технологии и материалы для обеспечения высокого качества услуг.
- Мы гарантируем полную безопасность всех процедур.
Специальные предложения
- Все услуги
- Постоянная

В случае, когда трое, мы готовы предоставить вам скидку в размере 7%.
И если четверо и больше членов вашей семьи посещают нашу клинику, вы имеете право на скидку в размере 10%.
- Ортодонтия
- Постоянная

- ● Детская: 3500р.
- ● Взрослая: 4900р.
- Все услуги
- Постоянная

Скидка 7% на все услуги нашей клиники для пенсионеров и ветеранам боевых действий.



















